Smile Makeover in Nashville, TN
Cosmetic imperfections in your smile can cause self-consciousness and embarrassment. Want a stunning, personalized solution?
Dr. Clint Newman offers individualized smile makeovers for Nashville, TN, patients to address multiple cosmetic concerns in one treatment plan.
Let our renowned dentist help you achieve the smile you've always dreamed of through precise care and advanced technology.
What Is a Smile Makeover? Combining Treatments for a Beautiful Smile
A smile makeover is a custom-designed treatment plan that combines multiple cosmetic dental procedures, like crowns and veneers in Nashville, TN, to meet a patient's unique goals.
Our dentist, Dr. Clint Newman, is a leader in the field and exclusively creates cosmetic and designer smiles. He offers next-level smile makeovers for Nashville patients hoping to completely revitalize their teeth and gums.
These procedures are completely personalized to you. What else sets us apart?
- For the utmost precision, we employ advanced technology like 3D imaging and our iTero® intraoral scanner. Our team then uses case creation software to plan your treatment and ensure you are completely confident in your results before we even begin.
- We also invest in you by using only the highest-quality materials, which you can select during your detailed consultation.
- Finally, our team can expertly mill natural-looking crowns and veneers with the state-of-the-art CAD/CAM technology for tailor-made smiles.
Want to find out more about veneers and crowns? Curious about the cost of veneers? Hoping to relax with sedation throughout your treatment? Request a consultation with Dr. Newman, the official cosmetic dentist of the Tennessee Titans.
Experience Elite Cosmetic Dentistry
With Dr. Newman, the Official Cosmetic Dentist of the Tennessee Titans

If you are looking for a high-tech and respected cosmetic dentist in Davidson County, look no further. Dr. Newman is nationally renowned for his skill in cosmetic dentistry in Nashville, TN. He has been invited to share his expertise on television multiple times, and his impressive results have led the Tennessee Titans to designate him as their official dentist.
Because of his reputation as a leading cosmetic dentist, it is common for other doctors and plastic surgeons to refer their patients to our dentist in Nashville, TN, for smile makeovers. If you are wondering what Dr. Newman can do to upgrade your smile, we invite you to contact our practice today.
Which Procedures Can Be Included In a Smile Makeover?
Because a smile makeover is a custom-made treatment, every cosmetic plan includes its own unique combination of procedures. Dr. Newman uses the most modern techniques and technologies to create beautiful smiles for our patients. When he designs smile makeovers in Nashville, TN, some options he may choose are:
- Dental Bonding
- Dental Crowns
- Gum Contouring
- Invisalign
- Porcelain Veneers
- Teeth Whitening in Nashville, TN
Discover
What This Treatment Can Do for You

Clint Newman is proud to create beautiful new smiles. If you want to transform your look with detail-oriented cosmetic dentistry, we encourage you to schedule a consultation at our dental boutique in Nashville, TN. Our dentist can evaluate your case and provide information on how he can help you achieve an unforgettable smile using multi-unit crowns and veneers.
Patients love coming to our welcoming and stylish Nashville office. Every aspect of our clinic is ultra-modern. For state-of-the-art care, we use advanced technology like dental lasers and CAD/CAM milling to deliver top-tier dentistry in the most comfortable environment possible. If dentistry happens to make you nervous, we offer dental sedation to help you remain comfortable and relaxed.
To request a consultation with Dr. Clint Newman, fill out our online form or call:
(615) 385-3507
"Could not be happier." Patient-Centric Cosmetic Dental Care in Nashville
Very professional and extremely nice from the moment you step into the office until you leave. I’ve had extensive dental procedures done and could not be happier with my experiences.
View on GoogleAppreciated the care and kindness of Dr. Newman and his staff! Made my transition to a new dentist in Nashville a breeze.
View on GoogleReasons to Choose Us for Cosmetic Dentistry
Calming Sedation
Dental anxiety affects millions of Americans and prevents them from achieving their best possible smiles. For your comfort and safety, our Nashville, TN, office works with a licensed anesthesiologist to provide IV dental sedation. He can also offer oral conscious sedation, depending on your needs.
Quality Materials
There are a variety of materials on the market used to fabricate crowns, veneers, and other dental prosthetics. Dr. Newman is a dentist who only uses the most natural-looking and durable options to produce world-class results.
"The entire office staff is welcoming, kind and extremely competent. It was by far the best dental experience I've ever had. Not only did they do everything they could to make sure I felt comfortable, but the work they did was outstanding. I've never had better pre and post care follow-up." Robin Andrews, 5-Star Google Review

Versatility and Vibrancy
Porcelain Veneers Work to Create Beautiful Smiles
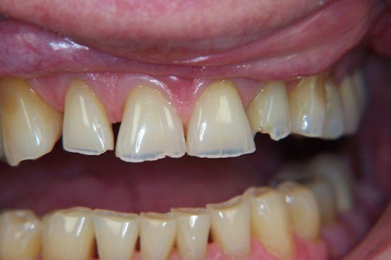
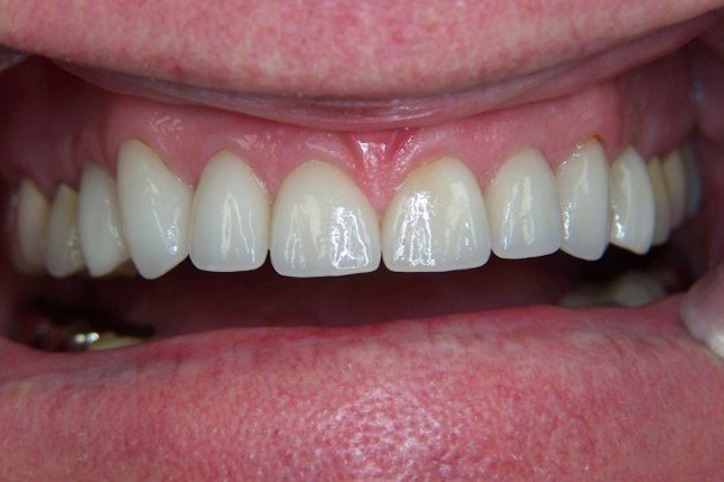
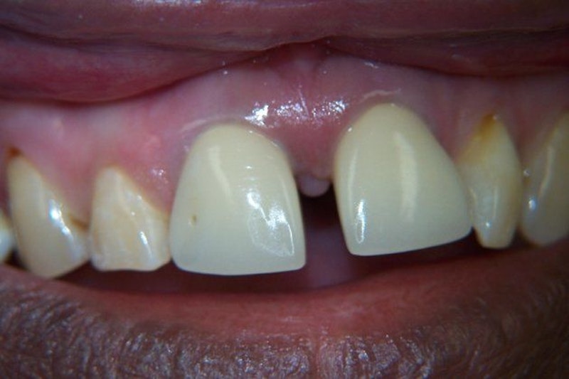
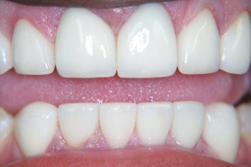
Want to target several different cosmetic concerns, all at once? Veneers are a popular part of Nashville smile makeovers for that benefit alone.
They consist of extremely thin, ceramic shells that a dentist attaches to the front of chipped, discolored, or mildly misaligned teeth, concealing imperfections. Because they can transform one tooth, several, or all your anterior teeth, they can help patients with all types of different concerns.
Custom crowns can assist with the same goals too. Unlike veneers, they can be placed over your back teeth, making them an effective part of a complete transformation.
Multiple Veneer Options Are Available
/
Dr. Newman is a major advocate for veneers. In fact, he is known in Nashville as a Master of Porcelain Veneers. To best tailor your veneers to your teeth, he can educate patients on three different kinds of materials: IPS Empress®, IPS e.max®, and Macveneers™. All of these options are highly durable and are indistinguishable from natural enamel.
Gum Contouring Provides the Final Touches To a Beautifully Balanced Smile
Some Nashville cosmetic dentists may offer restorations, but neglect your gums entirely. As a result, even the most breathtaking veneers and crowns can look out of balance. That's not the case here.
Our dentist strategically uses surgical and laser gum contouring to ensure that your teeth and gums appear completely harmonious. We also feature three different types of lasers, like the Picasso Diode Laser, Theralase® Laser, and Peak Laser system. After all, we take pride in pairing the right technology and techniques with your treatment.
Dental Bonding A Conservative Alternative to Veneers
Enjoy Brighter, Whiter Teeth Brilliant Results in One Visit
Convenient At-Home Whitening
With custom solutions like these, there's no need to spend extra time in the dentist's chair. You can whiten your teeth with our take-home kits anywhere and anytime.
Powerful In-Office Whitening
We can refer you to one of our other practices for in-office treatment. Thanks to the effective but safe whitening solution Dr. Newman uses, you may be able to enjoy your results after a single visit.
Invisalign: A Simpler Path To a Uniform Smile
Easy to Use
Traditional orthodontics like braces can straighten teeth, but many patients are reluctant to wear bulky metal braces for a year or more. Clear aligners are far easier for our Nashville smile makeover patients to wear and keep clean.
Subtle Appearance
You don't have to experience a dip in confidence as you wear noticeable braces. Invisalign aligners blend in easily with your natural teeth, making them an excellent choice for professional adults wanting to subtly refine their teeth.
Enjoy All Your Favorite Foods
Traditional braces can seriously limit your diet. With Invisalign, though, you can simply take out your clear aligners to eat a whole range of foods, like popcorn, toffee, and nuts.More Comfortable
One of the most dreaded aspects of braces is routine tightening. Invisalign relies on replacing your aligners instead for more comfortable orthodontic care. Plus, you'll still see our dentists throughout your treatment, so you can trust that your progress is being monitored.
Relax Fine Lines With BOTOX
Looking for the finishing touch to complement your smile makeover? We can administer BOTOX Cosmetic injections right in our office. Depending on your needs, treatment can soften lines and wrinkles around the mouth, between the brows, and more.
Ready for a New Smile?
Schedule a Consultation

Do you ever wonder how you might look with an entirely new smile? If you have concerns about the appearance of your smile, we invite you to schedule a smile makeover consultation at our Nashville, TN, dental office.
During a consultation at our spa-like practice, Dr. Newman will explain how a smile makeover can help you look and feel your absolute best. He will examine your teeth and gums using precise scanners while asking questions about your cosmetic goals. Based on this information, he will be able to describe the personalized treatment options he believes will produce the best results. He can even plan your treatment using advanced case creation software.
To request a consultation and begin your journey towards a healthy, confident smile, fill out our online form or call:
(615) 385-3507
Does Insurance Cover
Smile Makeovers?
Unfortunately, most procedures targeting cosmetic concerns are considered elective dentistry, so you will likely be paying for your smile makeover out of pocket. One exception may be Invisalign, which is sometimes eligible for coverage due to its positive effects on your oral health. Other procedures like dental crowns, which can also repair your smile, may potentially be partially covered as well.
No matter which option you choose, we'll work with you to make your goals achievable. During your Nashville smile makeover consultation, we can also explain financing options that make cosmetic dentistry a comfortable fit for most budgets.
We accept financing through CareCredit®, which offers loans with little to no interest, depending on your credit. As a result, our Nashville smile makeover patients will just need to cover manageable monthly payments while enjoying the smiles of their dreams.
"They Strive for Excellence."
Dr. Newman is the best, for cosmetic or traditional dentistry. All of his staff are friendly and helpful, and I can't say enough about how skilled and fantastic he is. Highly recommend!
View on GoogleEveryone at Dr. Newman's practice is professional, kind and compassionate. They strive for excellence. I highly recommend them.
View on GoogleWhat If I Need to Improve
My Oral Health?

As we tell our Nashville patients, smile makeovers can only be carried out if their smiles are healthy. Luckily, we can help you address concerns like cavities, broken teeth, or tooth loss with treatments such as:
Tooth-Colored Fillings
Need to treat a cavity or replace a filling? Metal options can be extremely noticeable, but we have another option: tooth-colored fillings.
Dental Crowns
Dental crowns can protect a damaged tooth or replace a single missing tooth. Considered restorative dentistry, they can also be part of a smile makeover to improve function and aesthetics.
Dental Implants
After tooth loss, implants can replace tooth roots and support a crown, bridge, or denture. We can coordinate placement, and later attach beautiful restorations in our office.
"Absolutely fantastic. I had a ton of cosmetic issues (gaps in teeth, my front 4 teeth ended higher than the rest, and one was even heavily cooked) it’s all fixed and it’s an absolute game changer. Literally worth every penny and they were able to do all of it within a month which was nuts." Will Hetherington











