Teeth Whitening
Discolored and stained teeth can make you feel self-conscious when you talk or smile, but they don't have to. Dr. Clint Newman and Dr. Thomas Underwood offer Opalescence Go™ at-home teeth whitening in Nashville, TN, for convenient treatment.
Learn how professional whitening can give you a radiant smile more effectively than over-the-counter products.
Options for Teeth Whitening

Take-Home Kits
If you have tooth sensitivity or a busy schedule, our take-home whitening kits may be a better dental treatment for you. All patients have to do is pop in the already-prepared trays, let them mold to their smile, and keep them in as directed. Most people will see the results of their teeth whitening in 5-10 days, depending on the concentration of their solution.

In-Office Treatment
Before Dr. Newman whitens your teeth, a dental hygienist will clean each tooth by removing plaque and debris. A whitening gel is then carefully applied to your enamel. The bleaching agent reacts and breaks down stains, brightening your enamel in less than an hour. Typically, most Nashville teeth whitening patients can complete their treatment in one appointment.
Our Teeth Whitening Treatments Are More Effective Than Store-Bought Products
Although a variety of teeth whitening products using carbamide peroxide or hydrogen peroxide are available over the counter, our kits offer more consistent, concentrated care and better results. Our dentist-directed treatments can provide stronger, customized transformations, so that you don't have to get discouraged with:
Whitening Toothpaste
Regular brushing with whitening toothpaste may whiten your teeth after several weeks, but the results won't be as dramatic as professional teeth whitening at our Nashville practice.
Whitening Strips
Whitening strips are a popular option for brightening teeth. Like other over-the-counter options, whitening strips work by bleaching the teeth over several weeks to slightly improve their appearance. Unfortunately, the strips also have the potential to harm beneficial bacteria and damage the gums. Bleaching your teeth with the supervision of a dentist is a safer option.
DIY Whitening Mixtures
DIY hydrogen peroxide and baking soda mixtures can be dangerous to the health of your enamel and gum tissue. With in-office treatment and professional teeth whitening kits, the hydrogen peroxide levels can be adjusted to achieve the level of whitening you desire without negatively affecting your oral health.
Are There Any Risks To Store-Bought Whitening Products?
/
One drawback to over-the-counter whitening products is the lack of professional oversight by a dentist. Without the proper knowledge and application, it can be easy to overuse products and damage your teeth. Our dentist-directed take-home kits offer a safer and gentler way to whiten your smile.
Enhance Your Smile
Request a Consultation

Dr. Clint Newman is a cosmetic dentist who delivers top-tier treatment at his Nashville, TN, dental office. Working alongside Dr. Thomas Underwood and his highly trained staff, Dr. Newman's dental office is devoted to creating custom results for curious cosmetic patients.
Teeth whitening is one of the fastest, most effective dental procedures for improving the appearance of your teeth. If you're interested in the benefits this treatment offers, we invite you to fill out our contact form or call:
(615) 385-3507
Choose a Team Known for Cosmetic Dentistry
For Your Teeth Whitening Treatment

At our Nashville office, teeth whitening is one branch of our most well-known focus: cosmetic dentistry. When you visit Dr. Newman and Dr. Underwood, you'll be working with a team that's renowned for creating beautiful results.
We hold affiliations with the American Academy of Cosmetic Dentistry (AACD), as well as the American Dental Association (ADA), allowing us to maintain a reputation for beautiful yet healthy dental results.
As the official cosmetic dentist for the Tennessee Titans, Dr. Newman is known for creating stunning smiles.
Hoping to learn more about how can help our tooth whitening patients achieve brilliant results? Reach out to our Davidson County, TN, office.
Showing Nashville Patients How to Fall in Love with Their Smiles
"Dr. Newman and his staff are very polite, accommodating, and professional. I am in love with my smile thanks to Dr. Newman and his team. I would definitely recommend his services to anyone that is uncomfortable with their smile." Natasha Napier
Candidates for Teeth Whitening
Generally, anyone who has good oral health and discolored teeth can be a good candidate for teeth whitening treatment; however, there are a few conditions patients need to meet to be considered. Patients must have:
- Healthy gums
- Extrinsic, not intrinsic stains
- Realistic expectations
- No infected teeth or tooth decay
- A commitment to using take-home kits properly
- The ability to attend follow-up appointments
During your consultation for teeth whitening in Nashville, TN, our dentists will examine your oral health and ask you about your goals to determine if treatment is right for you.
How Long Does At-Home Teeth Whitening Take? Just 5 to 10 Days
Most people will see the results of their tooth whitening in 5 to 10 days, depending on the concentration of their solution. They'll need to put in their trays for about 15 to 20 minutes for the higher-concentrated 15% hydrogen solution, or for 30 to 60 minutes if they're using the lower-concentrated 10% hydrogen peroxide solution.
Either way, our Nashville teeth whitening patients can brighten their enamel from anywhere and at any time.
How Do Take-Home Whitening Kits Work?
Dr. Newman has been featured on television several times for his exceptional patient results and positive reputation.
Maintaining Your Results
No matter how well you keep up with your oral hygiene routine, your teeth whitening results will fade over time due to aging, eating, and drinking. Fortunately, Nashville teeth whitening patients can prolong the effects of their treatment by following these general tips:
Minimize Foods and Drinks That Stain
Some foods and drinks like coffee, tea, and tomato sauce can stain your teeth. We recommend minimizing your intake of these foods if you can and drinking beverages that can stain teeth through a straw. Brushing your teeth after eating foods that stain can also help reduce discoloration.Don't Smoke
Cigarettes and other tobacco products will stain your teeth, reversing the benefits of your teeth whitening treatment. Patients should quit smoking before whitening their teeth and avoid nicotine products altogether after their bleaching treatment.
Brush With Whitening Toothpaste
Whitening toothpaste can help minimize stains and maintain your dazzling results. Patients should use a soft-bristle toothbrush and floss at least once a day to maintain a smile that's as healthy as it looks.
Receive Touch-Up Whitening Treatments
As the results of your whitening treatment fade with time, you can improve the appearance of your smile with regular in-office visits or take-home whitening kits. By maintaining regular visits to our Nashville office, our dentists can review your overall oral health, too.
We Help Nashville Patients Feel Confident Again
Absolutely fantastic. I had a ton of cosmetic issues...it’s all fixed and it’s an absolute game changer. Literally worth every penny and they were able to do all of it within a month which was nuts.
View on GoogleDr Newman is a highly skilled dentist providing excellent clinical skills. I had multiple procedures with him and have very happy with the results !!!
View on GoogleOther Ways To Brighten Your Smile
Combine Your Cosmetic Dentistry Procedures
Into a Smile Makeover

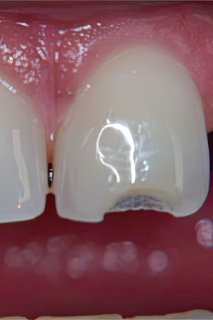
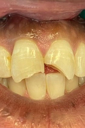
While whitening your teeth can go a long way toward making your smile more beautiful and healthier-looking, sometimes it just isn't enough. In addition to teeth whitening, our Nashville dentistry office has a range of procedures that can be combined into a streamlined smile makeover plan to comprehensively tackle all of your concerns. Whiten your teeth with a hydrogen peroxide treatment, cover a chipped tooth with dental bonding or a veneer, and cap a broken tooth with a crown—the possibilities are endless.
Results Like This Can Be Yours Request a Consultation to Get Started
Stunning Cosmetic Dentistry Results
From a Dedicated Team
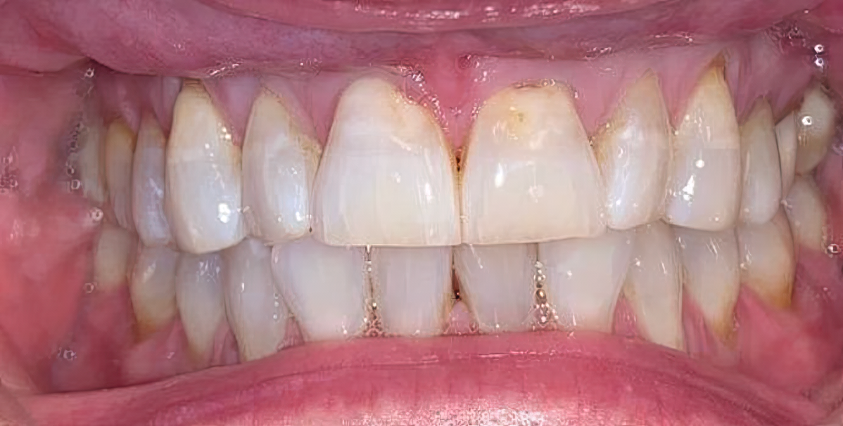
"My teeth haven't looked this good since my youth."
Outstanding. Sparkling white. Stains removed. My teeth haven't looked this good since my youth. No uncomfortable moments during cleaning despite having recession issues. Very capable hands. The front office staff had everything prepared upon entrance and exit... it was a breeze. Highly recommend!
View on GoogleDr. Newman is the best, for cosmetic or traditional dentistry. All of his staff are friendly and helpful, and I can't say enough about how skilled and fantastic he is. Highly recommend!
View on GoogleThe Limitations of Whitening on Intrinsic Stains
While teeth whitening treatments are effective at removing surface-level stains, intrinsic stains will not be affected. Typically caused by medications, fluoride overexposure, or oral injuries, these deep dental stains will require another dentistry solution to address. For treatments beyond teeth whitening, Nashville patients can explore dental bonding, veneers, and crowns to address these types of concerns.
FAQs About Teeth Whitening
Q. When do patients typically choose dental bonding over tooth whitening?
A. Some patients may have stains on one tooth that they want to correct, as opposed to whitening their entire smile. Dental bonding can be an excellent solution for that situation, as it simply refines the shade or shape of a single tooth. If you're not sure which option is right for you, our dentists can guide you through both treatments.
Q. I have sensitive teeth. Can I still try tooth whitening?
A. Yes — even with tooth sensitivity, you can potentially still explore teeth whitening with our Nashville team. That's because we use Opalescence Go, which has a type of tray with a lower concentration of whitening solution to make treatment possible for patients struggling with tooth sensitivity. Their formula also includes fluoride and potassium nitrate to help make your whitening treatment more pleasant.
Q. Do I need to sit for tooth impressions?
A. No — that's part of the beauty of Opalescence Go. Their whitening gel-filled trays can mold to your teeth, as long as you follow the directions correctly. As a result, our Nashville teeth whitening patients won't have to spend extra time in the dentist's chair or wait for their trays to be manufactured.









